Best Dentistry Services You Can Trust.
About Us
Certified Dentists Committed to Excellence
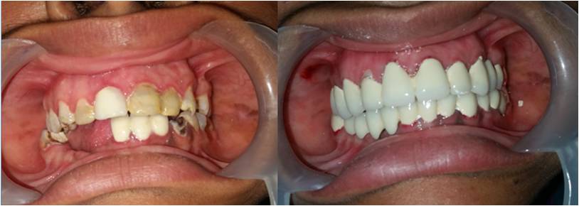
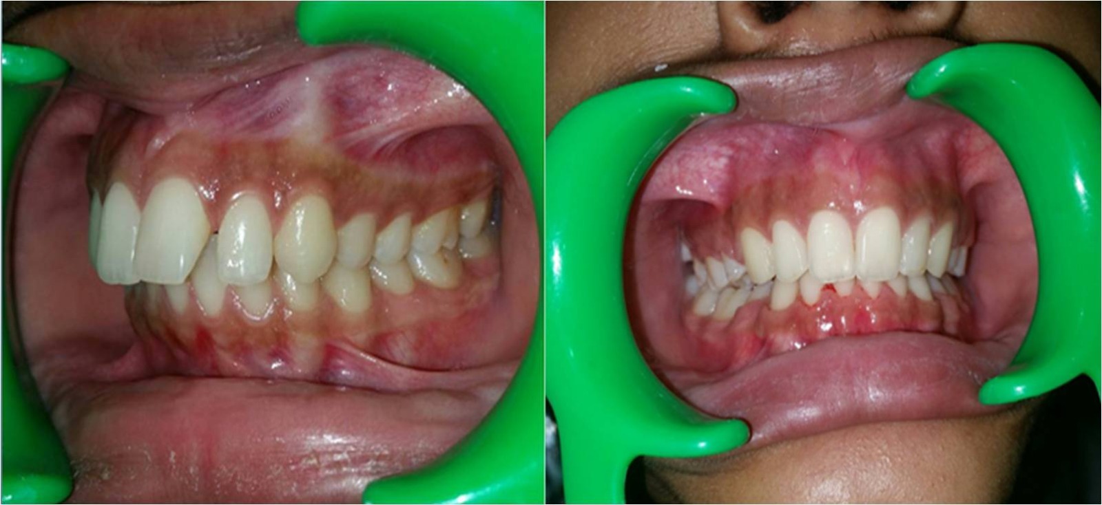
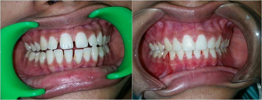
We are a team of 3 certified dentists specialised in offering the best dental treatments in town. With adequate experience of over 17 years, we have mastered the skills of offering the best solutions with the latest technologies.At Sri Durga Specialty Dental Clinic, we are dedicated to providing top-quality dental care in a comfortable and friendly environment. Our team of experienced dentists and staff use the latest technology and techniques to ensure the best outcomes for our patients. From routine check-ups to advanced dental procedures, we offer a comprehensive range of services to meet all your dental needs. We pride ourselves on our patient-centered approach, focusing on personalized care and building lasting relationships.
Our Services
All Your Dental Needs at One Place
Cosmetic Dentistry
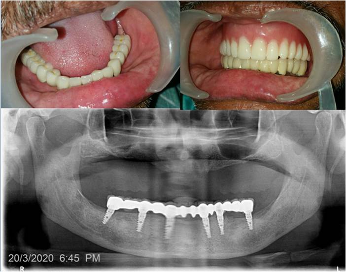
Dental X-Rays
Root Canals
Book an Appointment & You’re Done!
Why Choose Us
We Make Dental Treatments Fun!
Meet Dr.T.Harshavardhan Reddy
Dr. T. Harshavardhan Reddy, MDS, is an esteemed Oral Physician and Implantologist committed to delivering exceptional dental care. With extensive expertise and a patient-focused approach, he ensures top-quality treatment for all.
- 15+ Years of experience
- Highly Equipped Clinic
- Good quality care & service
Testimonials
What Our Clients Say









